Что это:
Зачем я создал “Лекторий для массажистов Epifanov.school”?
- Закрытый аккаунт в инстаграм, где каждую неделю доктор Епифанов разбирает новую тему: лекция в прямом эфире, образовательные посты, обратная связь
- Дополнительные лекции от приглашенных лекторов-практиков
- Разбираются темы разных уровней, от техники массажа, нозологий, до организации бизнеса
Со студенческих лет я занимался массажем, и, став врачом, ещё больше убедился в эффективности и важности этого метода лечения. Поэтому активно занимаюсь трансляцией медицинских знаний массажистам в своих роликах на ютубе и очных семинарах, но в таком формате невозможно охватить все темы, которыми хотелось бы поделиться с массажистами.
В собственном проекте я имею возможность более структурировано и качественно давать информацию, приглашать дополнительных лекторов, давать обратную связь слушателям, учитывать их мнение в построении графика лекций.
Epifanov.school - обучение для тех, кто серьезно настроен на собственное профессиональное развитие, кто доверяет моему опыту, мнению и готов к открытому конструктивному диалогу.
Темы августа
▪️Хиджама
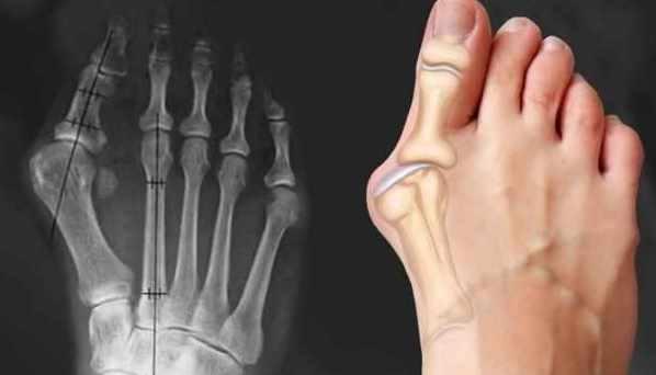
▫️Халюкс вальгус
▪️Массажные движения
▫️Карта пациента или Программа массажа
Скрытый текст. Доступен только зарегистрированным пользователям.Нажмите, чтобы раскрыть...
Новые складчины | страница 28
Категории
Страница 28 из 34
